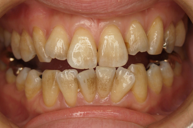
良好な口腔衛生を維持し、歯を清潔に保ち、ブラッシングすることは、欠かすことのできない日課です。ただし、歯のエナメル質の状態によっては、歯を白く見せる(黄色くなったり暗くなったりしない)には不十分な場合があります。
したがって、多くの人が歯の活性化を助ける処置であるホワイトニングを受けることを選択します。
近年人気が高まっている施術ではありますが、その仕組み、通説と真実、そして笑顔に最大のメリットを理解することは価値があります。
歯のホワイトニングに関する9つの誤解と真実
歯のホワイトニングでは、歯は色素分子を分解するプロセスを経て、より小さな、ほとんど知覚できない部分を作成します。その結果、歯が軽くなりますが、誰ができるかできないかということから始めて、世間で言われていることすべてが実際に信頼できるわけではないことを知っておくことが重要です。

1.誰でも歯を白くできる
神話。化学薬品を使用するプロセスであるため、歯のホワイトニングは以下の人には禁忌です。

2. 痛みのない施術です
用語的には。人それぞれ痛みに対する抵抗力があり、多かれ少なかれ感じます。しかし、たとえばレーザーによる歯のホワイトニングなどの既存のテクノロジーでは、この「小さな痛み」は耐えられる程度のものであり、局所的で一時的な不都合にすぎません。
処置を行った後、その部位がより敏感になることがありますが、これは深刻なものではなく、一時的なものです。

3. それは単なる美学の問題です
神話。あなたの笑顔をより美しくすることが、歯のホワイトニングを行うほとんどの人の動機です。ただし、これは、治療中の歯の元の色や明るさを変える他のタイプの処置の場合にも推奨される場合があります。

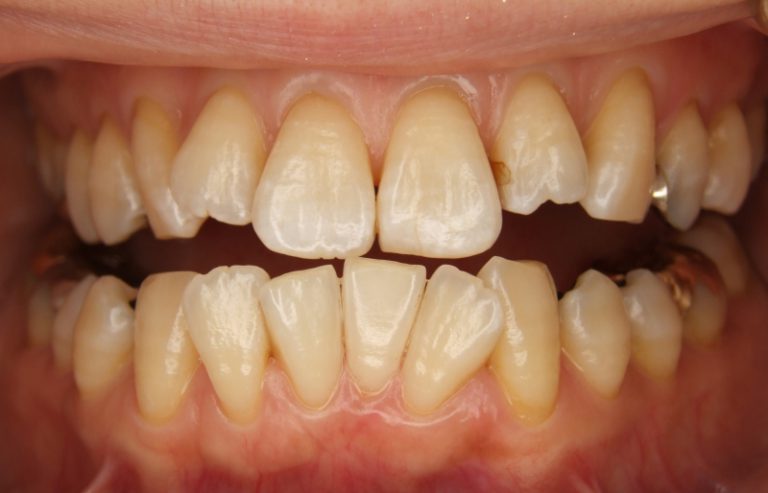
4. 歯をホワイトニングすると笑顔がとても白くなります

用語的には。アイデアは、元の色を変えずに、歯を明るくし、汚れを残さないようにすることです。連邦歯科評議会の専門家は、一般的に歯は白、黄色、灰色であるため、すでに「カラースケール」を持っていると説明しています。
したがって、黄色味が強い歯の場合、白い歯ではなく、より明るい歯になる可能性があります (これはすべての色に当てはまります)。
5. ホワイトニング後の歯はより敏感になります
用語的には。専門家は、施術前に減感作プロトコルに従ってオフィスで歯のホワイトニングを行う場合、このようなことは起こらないと説明しています。
このプロトコルは、一般的に知覚過敏の原因となる象牙小管と亀裂を閉じるように設計されています。
さて、資格のない専門家によってホワイトニングが行われたり、さらに悪いことに、自宅で監督なしでホワイトニングが行われたりすると、歯がより敏感になり、弱くなり、咬むことや咀嚼が損なわれる可能性があります。
不適切な製品を使用すると、歯だけでなく健康全般に悪影響を及ぼし、さまざまな合併症を引き起こす可能性があることに注意する必要があります。したがって、健康を危険にさらさないでください。

6. 歯をホワイトニングすると、既存の修復物が変更されます
神話。処置で使用されるホワイトニング剤の作用は修復物の色には影響しないため、一部の歯が他の歯よりも暗くなるリスクがあります。
この美的不調和を避けるために、専門家は古い修復物を交換するか修正することを推奨しています。この診断は歯科評価でも行われます。
7. ホワイトニングは歯のエナメル質を傷つけません
このような場合に使用される製品は、歯の色素や健康を損なうことなく、推奨されているものに従っています。
8. ホワイトニング後は、特定の食べ物や習慣を避ける必要があります。
真実。ホワイトニングを長持ちさせるには、染料を含む食べ物や飲み物の摂取、または歯を黒くする可能性のある次のような製品の使用を避けるか減らすことをお勧めします。
- コーヒー;
- 赤ワイン;
- 濃いお茶。
- ソフトドリンク。
- ジュース;
- 工業化されたソース。
- 人工着色料を使用した食品(キャンディーやガム)またはうがい薬。
減らすべきもう 1 つの習慣は喫煙です。喫煙者は通常、紙巻きタバコに含まれるニコチンとタール、およびコーヒーとの組み合わせによって歯に汚れがつきやすくなります。
9. すべての研磨製品は歯を白くします
神話。特定の研磨製品は歯科医が歯を磨くために使用します。これは歯の表面の汚れを取り除くのにも役立ちますが、白さを促進するものではありません。
これと同じ効果を期待できる歯磨き粉や歯磨き粉にも注意が必要です。推奨なしに、または無差別に使用すると、歯のエナメル質が摩耗し、象牙質(歯の内側の黄色の部分)が露出する可能性があります。
出典:








-1024x576.jpg?resize=1024,576&ssl=1)


