
痰の色は、喉の膿や感染症の存在を示します。

私たちが痰として知っている粘液は、天然の潤滑剤として上気道 (鼻腔、咽頭、喉頭) で生成されます。通常の状態は透明で無臭で、私たちが日常的に吸い込むあらゆる汚れや不純物を除去する役割を担っています。

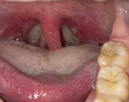
痰が溜まって喉が気になるとき、その色の変化によっては、何か異常があることを示している可能性があります。

吐き出すときに不快で強い臭いを感じ、その外観は通常よりも厚く、黄色と緑色の間で色が異なり、有名な膿も化膿性物質で構成されています。
それはどういう意味ですか?
この分泌物は炎症過程の結果として生成されます。つまり、喉の膿は、最もよく知られている感染症である扁桃炎や咽頭炎に伴う症状です。
急性扁桃炎
扁桃腺は、口と咽頭の間にある構造です。ウイルスや細菌の感染症にかかると、それを扁桃炎と呼びます。

この症状は、喉に膿の点があり、その部分が腫れているため、食べ物を飲み込むことと正常な痰の流れの両方を妨げ、副鼻腔炎を引き起こす可能性がある最も一般的な症状です。
発熱、喉の痛み、口臭、食欲不振も一般的な症状です。
ウイルス性咽頭炎
咽頭は消化器系と呼吸器系全体を繋ぐ器官であり、耳にも繋がっています。ウイルス感染の場合、症状は喉の痛み、発熱、倦怠感、声がれ、咳、下痢、場合によっては結膜炎などです。
膿は扁桃腺領域に存在する場合と存在しない場合があり、扁桃腺領域も感染時に影響を受けますが、これは症状の重症度によって異なります。

レンサ球菌性咽頭炎
咽頭の細菌感染症であり、高熱、悪寒、嘔吐、喉の痛み、頭痛、腹痛を引き起こします。扁桃腺も充血して肥大し、膿がたまります。
この状態は感染が広がり、中耳炎、髄膜炎、心内膜炎、肺炎などを引き起こしたり、リウマチ熱や糸球体腎炎、つまり腎臓領域の炎症を引き起こす可能性があるため注意が必要です。
正しい診断と治療のためには医師の診察が必要です。








-1024x576.jpg?resize=1024,576&ssl=1)


