
子供の免疫システムは生後数年間は完全に発達していないため、この段階ではインフルエンザ、風邪、細気管支炎などのウイルス感染症にかかりやすくなります。

2023 年 4 月、オズワルド クルーズ財団 (Fiocruz) の InfoGripe 速報によると、呼吸器合胞体ウイルス (RSV) (このコンテンツで取り上げる症状の主な原因の 1 つ) が、感染症のほぼ半分の原因となっていたとのことです。 4歳までの子供が入院した呼吸器感染症の症例。

したがって、この絵は親や保護者からの注意と世話に値します。ここで細気管支炎とは何か、そして赤ちゃんが元気に成長するために赤ちゃんの肺を守る方法を理解してください。
結局のところ、細気管支炎とは何ですか?
細気管支炎は、主に乳児と 2 歳未満の子供が罹患する呼吸器疾患ですが、高齢者にも注意を払うことが重要です。通常、ウイルス感染によって引き起こされ、主な標的は細気管支(肺の中で最も小さな気道)です。
すでに述べたように、 RSV はそれを引き起こす主な原因の 1 つですが、この状態の発症に関与している可能性のある他の病原体も存在します。これらには、ライノウイルス、メタニューモウイルス、インフルエンザ、アデノウイルス、 コロナウイルス、マウスウイルスが含まれます。
細気管支炎の発生率が最も高くなる時期は、呼吸器感染症がより頻繁に発生する一年で最も寒い時期に発生します。これは空気が乾燥することで起こり、鼻の粘膜が損傷し、ウイルスが気道に侵入して増殖しやすくなります。

どのような症状がありますか?
細気管支炎の初期症状は、鼻水、咳、発熱などの風邪の症状に似ている場合があります。
赤ちゃんにこれらの兆候が見られる場合は、注意してください。病気が進行すると、炎症を起こした細気管支が呼吸困難、喘鳴、息切れの症状を引き起こす可能性があり、深刻な状態になる可能性があります。
このような場合は、赤ちゃんの臨床評価を行って最適な治療法を提案してくれる小児科医の助けを求めてください。

しかし、診断はどのように行われるのでしょうか?

細気管支炎の診断は、症状や時期などのいくつかの要因によって異なりますが、一般的には小児が示す症状に基づいて臨床的に行われます。
評価中、医師は赤ちゃんや子供の全体的な外観、呼吸の頻度とリズム、チアノーゼ(皮膚や粘膜の青みがかった変色)の有無を観察します。
細気管支炎が疑われる場合は、血中酸素飽和度も考慮されます。これは、患者の指に装着されるパルスオキシメーターと呼ばれる装置で測定できます。
飽和度が 95% 未満の場合は、赤ちゃんまたは子供が低酸素血症 (血中酸素不足) に陥っており、酸素の補給が必要であることを示しています。
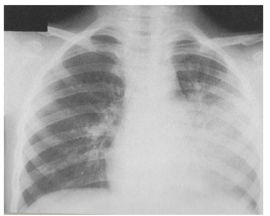
このような場合、より深刻であると考えられる場合、医療専門家は、肺炎または無気肺(肺の部分的または完全な虚脱)の兆候を確認するためにを要求することがあります。この検査では、この器官が過膨張しているかどうか(空気で満たされているかどうか)、または横隔膜が低いかどうかもわかります。これは、子供が呼吸しようと非常に努力していることを示しています。
家族全員にケアを提供するために、年齢制限なしで 4 人の扶養家族を追加することができます。
RSウイルス抗原や、呼吸器合胞体ウイルスやインフルエンザなどの他の病原体の存在を検出するなどの検査も行うことができます。通常は必要ありませんが、要請があれば隔離や入院に関する意思決定に役立ちます。

細気管支炎はどのように治療されますか?
治療と診断は、いくつかの要因によって異なります。しかし、ほとんどの場合、それは症状を和らげることに焦点を当てた支持的なものです。これには、熱を下げ、呼吸を改善するための薬の投与や、十分な水分補給が含まれる場合があります。
適切な薬は医師の処方が必要であることに注意することが重要です。これらの症状に対して赤ちゃんや子供にとって最適な組成を理解するために、小児科への予約を入れてください。
息切れ、低飽和度、チアノーゼなどの重篤な症状が幼児に現れた場合、酸素投与、血清の点滴投与、または人工呼吸器の投与を受けるために入院が必要となる場合があります。
しかし、細気管支炎はウイルスによって引き起こされるため、治療に特効薬はありません。抗生物質の投与が必要となるのは、細菌感染症が合併している場合のみですが、これはまれです。
ほとんどの場合、子供は 5 日以内に回復しますが、咳や喘鳴は最大 4 週間続くことがあります。

どうやって防ぐのか?
小さな子どもたち(そして年配の子どもたち)をこの病気から守るには、予防が大きな味方となります。予防策には次のようなものがあります。
- 頻繁に手を洗うなど、基本的な個人衛生ケア。
- 病人との濃厚接触を避ける。
- 環境を清潔で換気した状態に保ちます。
- 感染のピーク時には可能な限り混雑した場所を避けてください。
赤ちゃんや子供が発する可能性のある小さな兆候に常に注意を払い、細気管支炎をさらに悪化させる可能性のある他の病気を防ぐために予防接種を最新の状態に保ちます。
出典:
- カナダがん協会|フィオクルス
- 肺線維症財団|保健省
- 1 つの保健委員会|クリニック ダス病院
- 細気管支炎 – 子供の健康上の問題| MSD








-1024x576.jpg?resize=1024,576&ssl=1)


